Source: All cases are submitted by the TRIAMOND™ MASTERMIND Community. Thank you very much!
Treatment duration: 5 months with TRIAMOND™ Additional: Carriere® Motion appliance for 5 months
 
  
  
  
  
  
  
  
  
  
  
  
  
  
  
 Additional: Carriere® Motion appliance for 5 months .
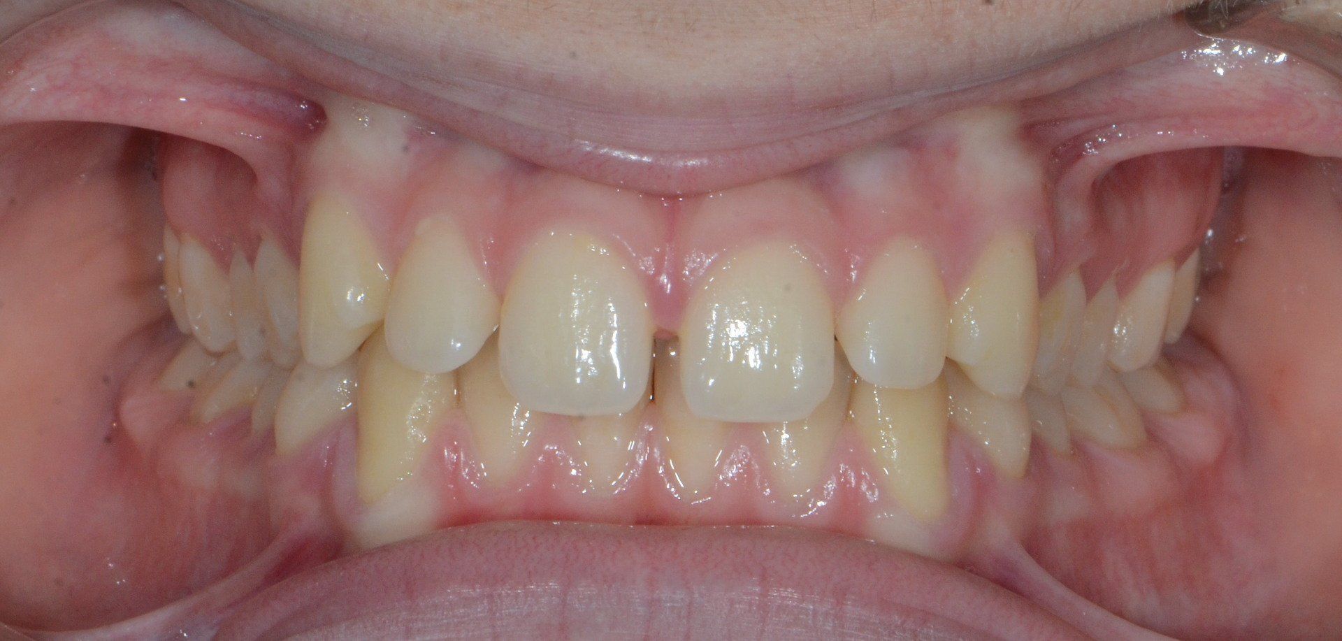
14 year old female patient treated with Carrier Motion 2 appliance for 5 months, then with the TRIAMOND™ system for 5 months using a 0.016" NiTi leveling and aligning wire for 1.5 months followed by the Wedgewise stainless steel work/finishing wire for 3.5 months. There were 2 treatment visits with the Motion 2, and 4 (including bonding and debonding) with TRIAMOND™.
 
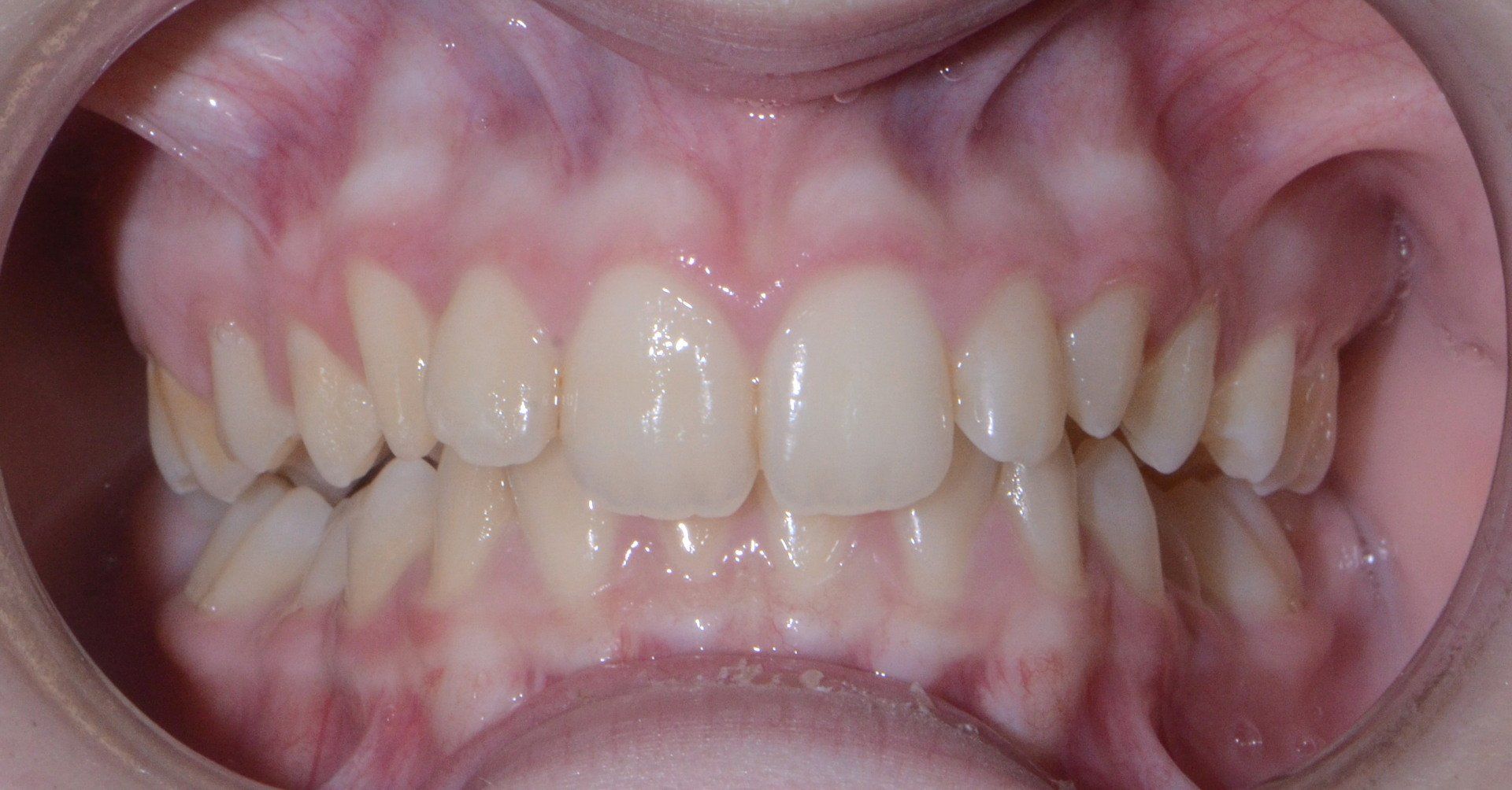
 16 year old male patient with a "hidden" Class III deep bite treated with the TRIAMOND™ system for 11 months using a 0.016" NiTi leveling and aligning wire for 3 months with anterior bite blocks followed by the Wedgewise stainless steel work/finishing wire for 7.5 months. Elastic chains and intermaxillary elastics were used from the bonding appointment. There were 7 treatment visits (including bonding and debonding).
 
 14 year old female patient treated for 10 months with the TRIAMOND™ system using a 0.016" NiTi leveling and aligning wire for 3 months followed by the Wedgewise stainless steel work/finishing wire for 7 months. There were 6 treatment visits (including bonding and debonding).
 
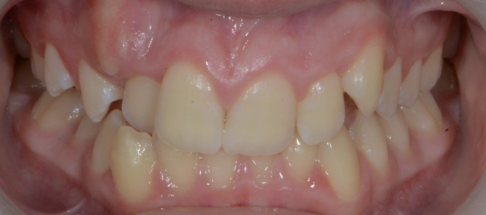
 16 year old male patient with a Class III malocclusion treated with the TRIAMOND™ system for 13 months using a 0.016" NiTi leveling and aligning wire for 4 months with anterior bite blocks, followed by the Wedgewise stainless steel work/finishing wire for 8.5 months. There were 7 treatment visits (including bonding and debonding).
 
 14 year old female patient with a Class I malocclusion with lateral open bites and severe crowding. She was treated with the TRIAMOND™ system for 14 months using a 0.014" NiTi leveling and aligning wire for 2 months with lateral vertical elastics and then with a 0.016" NiTi for 6 more months, followed by the Wedgewise stainless steel work/finishing wire for 6 months. Vertical elastics were used with all archwire combinations. There were 8 treatment visits (including bonding and debonding).
 
 11 year old male patient with a Class II div 1 subdivision LEFT malocclusion treated with the TRIAMOND™ system for 16 months using a 0.016" NiTi leveling and aligning wire for 7 months (while opening space for tooth 23), followed by the Wedgewise stainless steel work/finishing wire for 9 months. There were 9 treatment visits (including bonding and debonding and 1 emergency appointment).
Female patient that began treatment at age 11 using cervical headgear for 9 months to correct a Class II division 1 malocclusion at the molars with a 11mm overjet followed by 5 months of treatment with the TRIAMOND™. There were 4 HG only and 4 TRIAMOND™ treatment appointments (including bonding and debonding).
 
 14 year old female patient with a Class III crowded malocclusion treated with the TRIAMOND™ system for 10 months using a 0.016" NiTi leveling and aligning wire for 3 months with Class III elastics, followed by the Wedgewise stainless steel work/finishing wire for 7 months. There were 6 treatment visits (including bonding and debonding).
 
 11 year old female patient with a Class II malocclusion with severe crowding that was referred for extractions of teeth 16,24,34 and 46. She was treated with the TRIAMOND™ system for 13 months using a 0.016" NiTi leveling and aligning wire for 4 months with elastic chains (from 36-33 and 47-44) and Class II elastics from the day of bonding. The Wedgewise stainless steel work/finishing wire was used for 8 months. There were 7 treatment visits (including bonding and debonding).
 
 11 year old female patient with a Class I (but hidden Class III) malocclusion with a transverse lack of coordination. She was treated with the TRIAMOND™ system for 13 months using a 0.016" NiTi leveling and aligning wire for 3 months, followed by the Wedgewise stainless steel work/finishi
ng wire for 8 months. There were 6 treatment visits (including bonding and debonding) which entailed the use of Class III and vertical elastics throughout treatment.
 
 Additional: Lower premolar extraction + orthognatic surgery
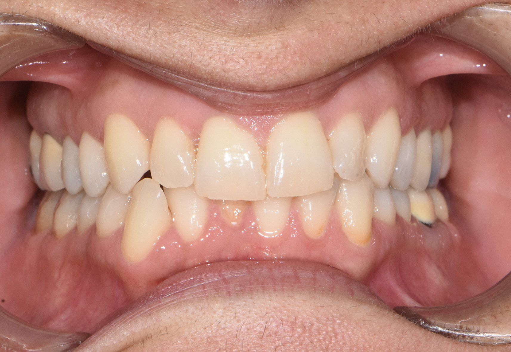
24 year old female patient with a Class III malocclusion treated by extractions and orthognathic surgery. She was treated with the TRIAMOND™ system for 17 months using a 0.016" NiTi leveling and aligning wire for 3 months, followed by the Wedgewise stainless steel work/finishing wire for 14 months (including 5 months of post-surgical observation). There were 8 treatment visits (including bonding and debonding).
 
 14 years old male patient with a Class I mildly crowded malocclusion. He was treated with the TRIAMOND™ system in 5 months using 0.016" NiTi leveling/aligning archwires for 1.5 months, followed by the stainless steel Wedgewise arch wires for 3.5 months. There were 4 treatment appointments (including bonding and debonding).
 
 2 years old female patient with a Class II division 1 crowded malocclusion. She was treated with the Carrier Motion 2 appliance for 5 months and the TRIAMOND™ system for 8 months. 0.016" NiTi leveling/aligning archwires were used for 3 months with vertical elastics, followed by the stainless steel Wedgewise arch wires for 5 months. There were 3 treatment appointments with the Motion 2 and 5 with TRIAMOND™ (including bonding and debonding).
 
 15 years old female patient with a Class II division 1 malocclusion with a 6mm overjet. She was treated with the TRIAMOND™ system in 15 months (poor cooperation) using 0.016" NiTi leveling/aligning archwires for 5 months, followed by the stainless steel Wedgewise arch wires for 10 months. Class II elastics were used from the day of bonding. There were 7 treatment appointments (including bonding and debonding and 2 emergency appointments).
 
 35 years old female patient with a Class I crowded malocclusion. She underwent a uniarch treatment with a lower incisor extraction in 5 months with the TRIAMOND™ system. A 0.016" NiTi leveling/aligning archwire was used for 3 months with elastic chain from 31-42. This was followed by the stainless steel Wedgewise archwire for 2 months. There were 5 treatment appointments (including bonding and debonding).
Mailing address: Germany - Head Office
Adenta GmbH Gutenbergstrasse 9, D-82205 Gilching Germany | T. +49 8105-73436-0  |  F. +49 8105-73436-22 | Email. 
info@adenta.com
Imprint | 
Privacy Policy | Copyright © 2021 Adenta GmbH. All rights reserved.