TRIAMOND™ WedgeWISE System
GROW YOUR OFFICE THE WISE WAY
You will get happier patients and increase your referrals.
Your TEAM will love this system as it is easily & safely delegated.
YOU will love it as you get your patients in and out the treatment as planned.
Join the TRIAMOND™ revolution now!
The TRIAMOND™ system has clinically proven that you can treat up to 60% more patients, as the biomechanics help you to reduce treatment time about 50%. As a result, you additionally reduce the risk for orthodotically induced root resorption. On top, you save at least 33% on your material costs. Beyond that, it is absolutely easy & reliable to handle, your entire staff will the system. JOIN THE REVOLUTION NOW!
CLINICAL EXAMPLES
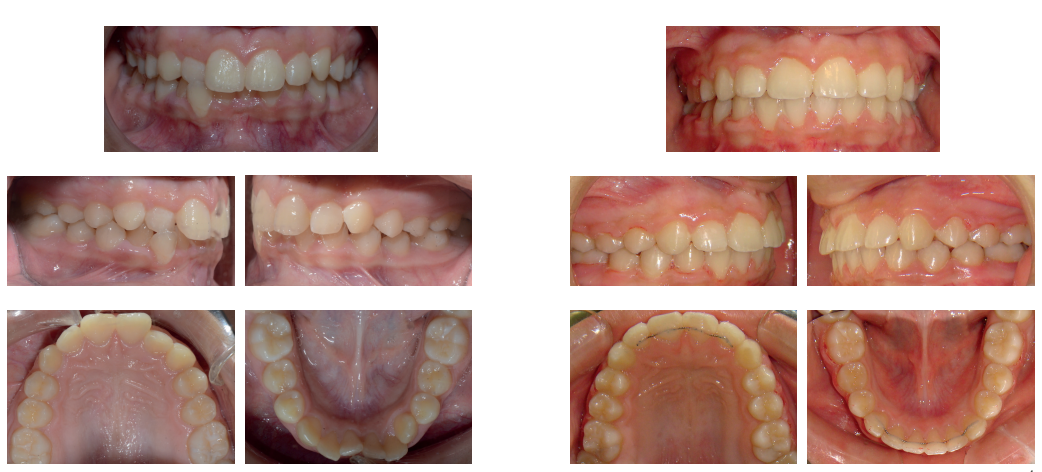
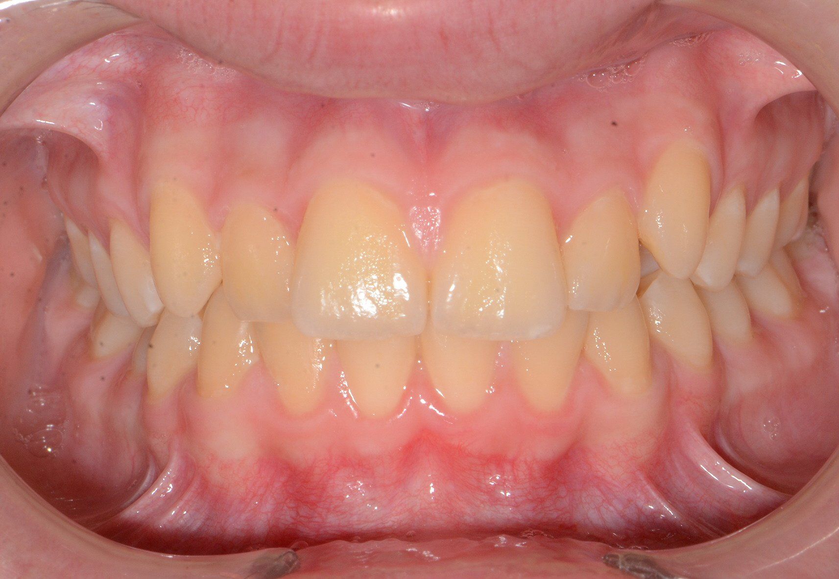
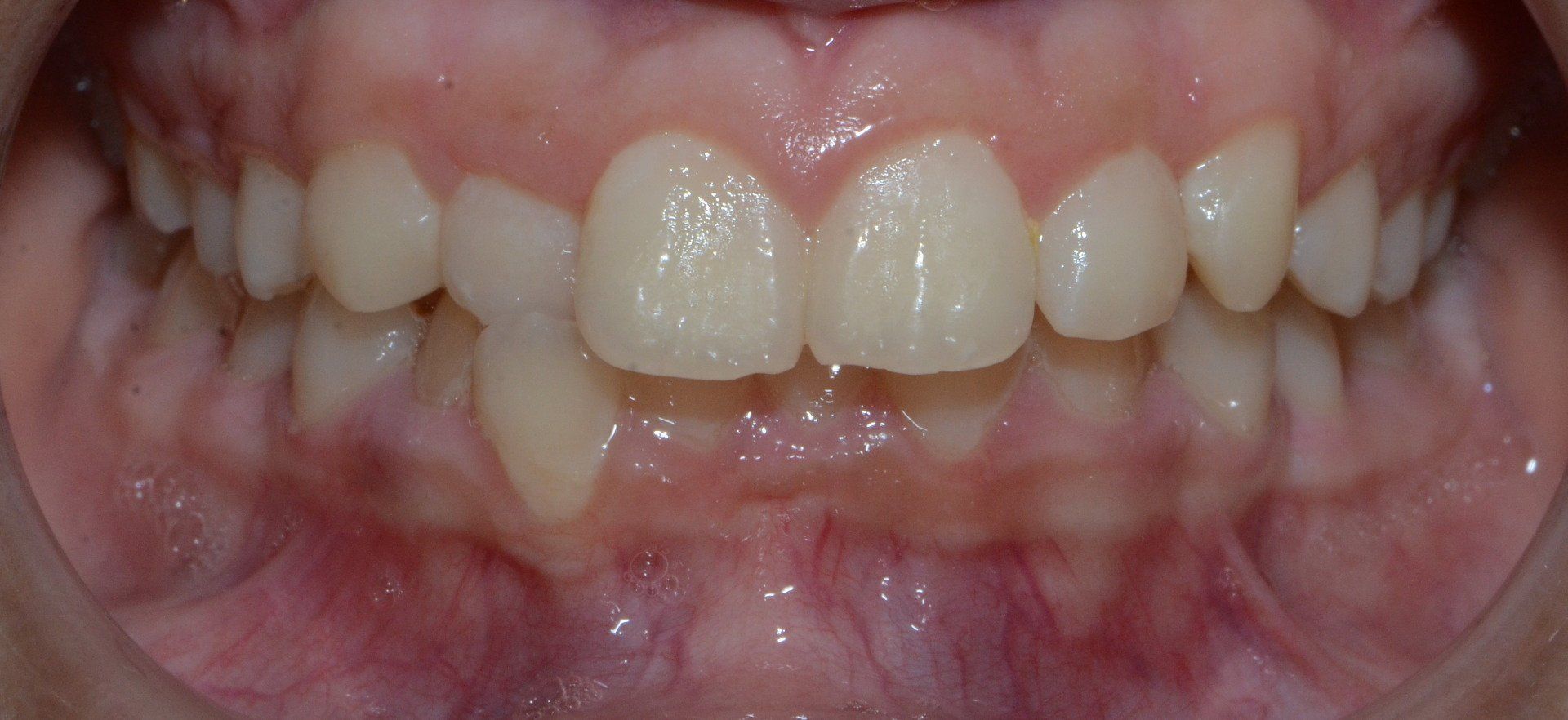
Treatment duration: 5 months with TRIAMOND™
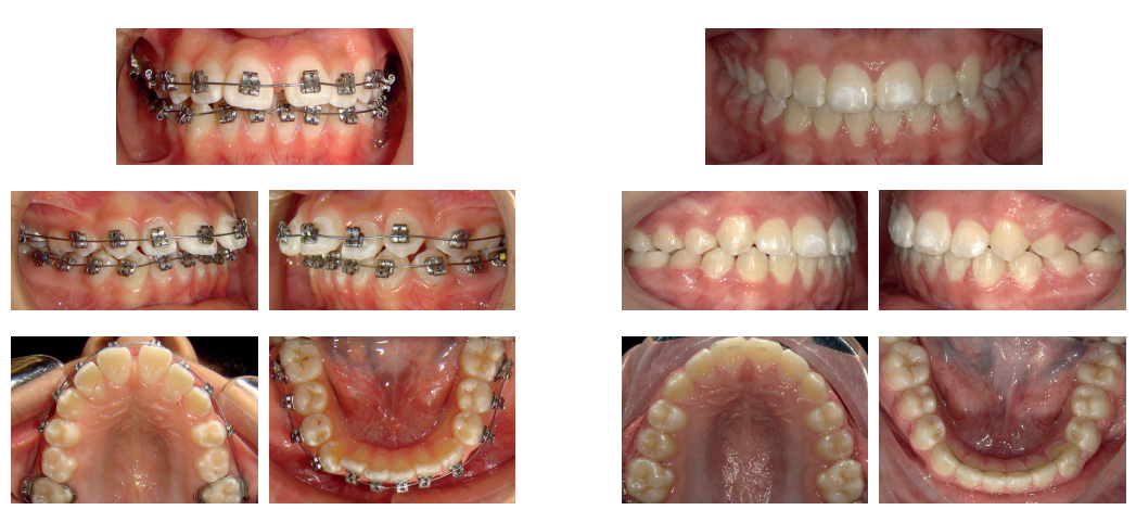
Treatment duration: 9 months headgear + 5 months with TRIAMOND™
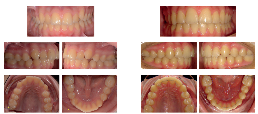
Treatment duration: 5 months with TRIAMOND™
SEE WHAT OTHER USERS ARE SAYING:
Don’t go flat, go to the (W)edge!
Dr. Ioan "Johnny" Barbur
orthodontic specialist in Cluj,
Romania
“The unique diamond shaped slot design truly gives me a lot of control and allows me to individualize right from the beginning. I recommend it to my patients as it is much faster and for special cases and I allows me to use MY treatment philosophy without any compromise.”
Dr. Melany Zyman
Odontología Tel Aviv Dental Loft, Israel
"With TRIAMOND™, I can finish my cases now as I have planned them.
Dr. Nuno
Sousa Dias
orthodontic specialist in Vila Nova de Famalicão, Portugal
“The TRIAMOND™ system allows me to correct torque and rotations really early. It results in faster corrections, less appointments. You will be highly satisfied just as I am.”
Dr. Anna-Maria Janosy
Maxilomed, Oradea,
Romania
"TRIAMOND™ is an innovative and smart solution - chair time is short and it really allows me to treat my patients faster. And I have even less inventory!"
It does my job: "Other brackets only forced me to work in the way they were designed, with numerous limitations on treatment options, numerous refinements and too many emergency visits.
With TRIAMOND™, I have a system that works for me my way, and not the other way round! I can get my patients in and out the treatment as I planned."
Melanie W, Germany

Finish as predicted: "With TRIAMOND™ I finally have a wise orthodontic solution, not just another bracket!
I get my case results as I had planned them – awesome!"
Victor M., Chile

Increase referrals: "My patient number increases as my referring doctors are happier."
Michele G., France

Finish fast: "With TRIAMOND™ I adopted a simple and logical system. It truly allows me to treat my patients faster as I only need 2 wires to finish."
Maria V., Slovenia
Save money: "I have noticeably less inventory thanks to the TRIAMOND™ system – pure money saver!"
John P., Australia

Safe & easy to delegate: "I can safely & easily delegate tasks, TRIAMOND™ really gives me free time and my staff a relaxed and easy to handle treatment option. // TRIAMOND™ made my office life so much easier – I can now delegate almost all chair side tasks easily and wisely!"
Dimitrij T., Russia

Happier patients: "My patients regularly chose TRIAMOND™ over aligners as they just deliver that hard-desired smile in a truly reduced treatment time."
Wolfgang P., Austria

True aligner alternative: "On average I can treat my cases in less time with better results and have full patient compliance."
Laura D., Italy
HERE ARE THREE CLINICAL BENEFIT EXAMPLES
From Dental Class II to Class I in three months
Evidence based reduced treatment duration
Start with intraoral elastics from .014” Niti
Significantly less armamentarium
It only takes 2 sets of wires finish faster & easier
More than 5,300 clinical and 7,800 technical proofs
THE “1-2-NO-3-STEP” PROTOCOL
With TRIAMOND™ you have a system that works for you your way, not the other way round. You can get your patients in and out of treatment the way you planned more simply and quickly. The unique design geometry of the TRIAMOND™ system results in simplified biomechanics to fit your treatment preferences. The efficiency of the system is superior to what you’ve gotten used to and it requires a noticeably reduced inventory.
WHY LESS IS MORE !
See how you benefit from the TRIAMOND™ Vector Technology in much more efficient tooth movement, less force resulting in less treatment time, and how the unique diamond shaped slot avoids side effects and compensations that are no longer needed.
Germany, Romania, Turkey, Poland, Malaysia, Thailand, Austria, Moldova, Spain, Croatia & Israel - here is the feedback from our TRIAMOND™ MASTERMIND community:

"Finally a bracket that brings in true economic and clinical advantages in my clinic.
Within 5 months I was able to almost double my patient numbers without adding more personal to my office!"
Sarah M.

"This new bracket system really changed the way of our daily office workflow. It is very safe to operate, so I can much better delegate tasks and do not have to worry anymore.
So I can focus now on new patient appointments and treatment planning."
Armold T.

"50% less treatment duration, double your patient potential without hiring more people, having a great product to compete with with other offices, reducing in general my material costs by approx. 30%, and less appointments for my patient during Corona times - what else should I ask from a bracket system?!"









